83 yr old male Cap?
NOTE: THIS IS AN ONLINE E LOGBOOK TO DISCUSS OUR PATIENT'S DE-IDENTIFIED HEALTH DATA SHARED AFTER TAKING HIS/HER GUARDIAN'S SIGNED INFORMED CONSENT. HERE WE DISCUSS OUR INDIVIDUAL PATIENT'S PROBLEMS THROUGH A SERIES OF INPUTS FROM THE AVAILABLE GLOBAL ONLINE COMMUNITY OF EXPERTS INTENDING TO SOLVE THOSE CLINICAL PROBLEMS WITH COLLECTIVE CURRENT BEST EVIDENCE-BASED INPUT.
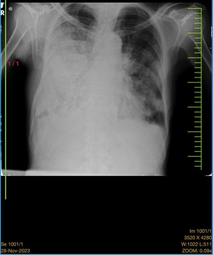
This is case of 83yr old male came with complaints of cough with sputum since 4 days,breathlessness since 4 days.
Patient was apparently asymptomatic 4days back then he developed cough which was insidious in onset, gradually progessive associated with sputum which was white in colour ,copious amount.
Fever since 4 days,high grade, associated with chills and rigors
Breathlessness since 4 days which was insidious in onset , gradually progressive from grade 2 to grade 4
No h/o chest pain, orthopnea,pnd, palpitations,pnd
PAST HISTORY:
Patient is not a known case of Hypertension, Diabetes mellitus, TB, Epilepsy, Bronchial asthma, Thyroid disorders
PERSONAL HISTORY:
Diet - Mixed
Appetite - decreased
Sleep - Adequate
Bowel and Bladder movements- Regular
Addiction - consumption of alcohol occassionally,h/o smoking since 30 yrs (1pack per day)
GENERAL EXAMINATION
Patient is conscious, coherent and cooperative and well oriented to time, place and person
He is moderately built
There is presence of pallor ,pedal edema up to the knee
No cyanosis, clubbing, lymphadenopathy
Vitals on admission -
Temp -
BP - 90/60 mm hg
PR - 98bpm
RR- 26cpm
SYSTEMIC EXAMINATION:
CVS: S1, S2 heard , no murmurs
CNS: NAD
RS:dysnea is present,B/L air entry + , trachea central , b/l crepitations,bronchial breath sounds
P/A : scaphoid, soft, non tender, bowel sounds are heard
Dvl referral was done I/v/o lesions in mouth
Which was diagnosed as oral candidasis
Advised -candid mouth plant l/A bd -2 weeks
Betadine gargle-3 times in a day
Bronchoscopy was done-white plague visualised near vocal cords and left pyriform fossa
Provisional diagnosis: community acquired pneumonia.
Treatment given: DNS,RL @75ml /hr
Inj.piptaz 4.5g iv 8 hrly
Tab.levofloxacin 750 mg po/od
Tab.bactrim-ds 800/160 po/bd
Cap.flucanazole 200mg po/od
Cap.doxycycline 100 mg po/bd
Inj pan 40 mg iv/od
Inj.neurobion 1 amp in 1000 ml ns
Syp.grillinctus 15ml po/tid
Neb.ipravent-8th hrly
Budecort-12th hrly
Tab-dolo 650mg po/tid
candid mouth plant l/A bd -2 weeks
Betadine gargle-3 times in a day
After intubation et culture was done it shows klebsiella pneumoniaSerial chest x-ray before intubation (1-12-23)




















Comments
Post a Comment